添加微信mede1917
或扫描二维码
添加微信mede1917
或扫描二维码
欢迎来到 Medebound 国际医疗平台
平安/泰康签约的优选服务机构
欢迎来到 Medebound 国际医疗平台
平安/泰康签约的优选服务机构
美联医邦
文章类型: 乳腺癌
导读:什么是侵润性小叶癌?侵润性小叶癌严重吗?侵润性小叶癌是属于晚期乳腺癌吗?为什么没有乳腺癌小叶癌而是直接侵润性小叶癌又该如何治疗呢。
浸润性小叶癌是一种始于乳房产奶腺(小叶)的乳腺癌。
浸润性癌症意味着癌细胞已经突破了它们开始的小叶,并有可能扩散到淋巴结和身体的其他区域,当病变在小叶原位并没有发生侵润时并不属于癌症,更应该叫做小叶性肿瘤,切除即可痊愈。
浸润性小叶癌占所有乳腺癌的一小部分。最常见的乳腺癌始于乳腺导管(浸润性导管癌)。

在早期,浸润性小叶癌可能不会引起任何症状和体征。随着它变大,浸润性小叶癌可能导致:
·乳房部分增厚的区域
·乳房中一个新的充满或肿胀的区域
·乳房皮肤质地或外观的变化,如凹陷或增厚
·新内陷的乳头
与其他形式的乳腺癌相比,浸润性小叶癌不太可能导致坚实或明显的乳房肿块。
如果你有任何让你担心的迹象或症状,就和你的医生预约。您的医生将进行检查,并决定您是否需要诊断性乳房x光(乳房x光)或乳房超声波。
询问你的医生何时开始乳腺癌筛查测试,以帮助在你出现任何迹象或症状之前及早发现癌症。常规筛查可能包括体检和乳房x光检查。
不同的组织在筛查建议上有所不同,但是许多组织建议具有平均乳腺癌风险的女性考虑在40多岁时开始乳房x光检查。
如果你有乳腺癌家族史或其他增加乳腺癌风险的因素,你的医生可能会建议你在更早的年龄开始筛查乳房x光检查或其他检查。
目前尚不清楚浸润性小叶癌的病因。
医生知道,当乳房的一个或多个产奶腺中的细胞在其DNA中发生突变时,侵袭性小叶癌就开始了。突变导致无法控制细胞生长,从而导致细胞分裂和快速生长。根据癌症类型的侵袭性,癌细胞可以扩散到身体的其他部位。
小叶癌细胞倾向于以独特的方式扩散而不是形成坚固的结节来侵入乳腺组织。受影响的区域可能与周围的乳房组织有不同的感觉,更像是增厚和丰满,但不太可能感觉像肿块。
每个乳房包含15至20个腺叶组织,排列像雏菊的花瓣。叶被进一步分成更小的小叶,为母乳喂养产生乳汁。小管(导管)将乳汁输送到位于乳头下方的容器中。
·身为女性。女性更容易患乳腺癌,但男性也可能患乳腺癌。
·年纪大了。随着年龄的增长,患乳腺癌的风险也会增加。患有浸润性小叶癌的女性往往比被诊断患有其他类型乳腺癌的女性年长几岁。
·小叶原位癌(LCIS)。如果你被诊断患有LCIS—局限在乳腺小叶内的异常细胞——您患任一乳腺浸润性癌的风险增加。LCIS不是癌症,而是任何类型乳腺癌风险增加的标志。
·绝经后激素使用。绝经期间和绝经后使用雌激素和黄体酮会增加浸润性小叶癌的风险。
·遗传性遗传癌症综合征。患有罕见的遗传性弥漫性胃癌综合征的女性患胃癌和浸润性小叶癌的风险增加。
为了降低患乳腺癌的风险,考虑尝试:
·与你的医生讨论更年期激素疗法的益处和风险。联合激素疗法可能会增加乳腺癌的风险。
一些妇女在绝经期经历了令人烦恼的症状和体征,对于这些妇女来说,为了缓解绝经期症状和体征,增加患乳腺癌的风险是可以接受的。
为了降低乳腺癌的风险,尽可能在最短的时间内使用最低剂量的激素治疗。
·如果要喝酒,也要适量。如果你选择喝酒,要适量。对于健康的成年人,这意味着所有年龄的女性和65岁以上的男性每天最多喝一杯,65岁及以下的男性每天最多喝两杯。
·一周中的大部分时间都要锻炼。在一周的大部分时间里,争取至少锻炼30分钟。如果你最近一直不活跃,问你的医生运动是否可以,然后慢慢开始。
·保持健康的体重。如果你目前的体重是健康的,努力保持这个体重。
如果你需要减肥,向你的医生咨询健康的减肥策略。减少每天摄入的热量,慢慢增加运动量。目标是慢慢减肥——大约一周1或2磅。
如果你有乳腺癌家族史,或者觉得你患乳腺癌的风险增加,请与你的医疗保健提供者讨论。预防性药物治疗、手术和更频繁的筛查可能是乳腺癌高危女性的选择。
诊断
诊断浸润性小叶癌
用于诊断浸润性小叶癌的测试和程序包括:
·乳房x光检查。乳房x光照相术产生了你乳房的x光图像。与其他类型的乳腺癌相比,浸润性小叶癌在乳房x线照片上不太可能被检测到。尽管如此,乳房x光检查是一种有用的诊断测试。
·超声波。超声波使用声波来创建你的乳房的图片。浸润性小叶癌可能比其他类型的乳腺癌更难用超声检测。
·磁共振成像。核磁共振成像使用强磁场来创建你的乳房的图片。胸部核磁共振成像当乳房x光片和超声波检查结果不确定时,可能有助于评估相关区域。它还可以帮助确定乳房内的癌症程度。
·取出组织样本进行测试(活组织检查)。如果检测到异常,您的医生可能会建议进行活检,以取出可疑乳腺组织样本进行实验室检测。
乳房活检可以使用针从乳房中抽出液体或组织,或者乳房组织可以通过手术切除。
确定浸润性小叶癌的程度
一旦确定您患有浸润性小叶癌,您的医生将决定是否需要额外的检查来了解您癌症的程度(阶段)。大多数女性除了乳腺成像、体检和验血之外,不需要额外的检查。
利用这些信息,你的医生会给你的癌症分配一个罗马数字来表示它的阶段。乳腺癌的分期从0到IV,0表示癌症非常小且无侵袭性。IV期乳腺癌,也称为转移性乳腺癌,是已经扩散到身体其他部位的癌症。

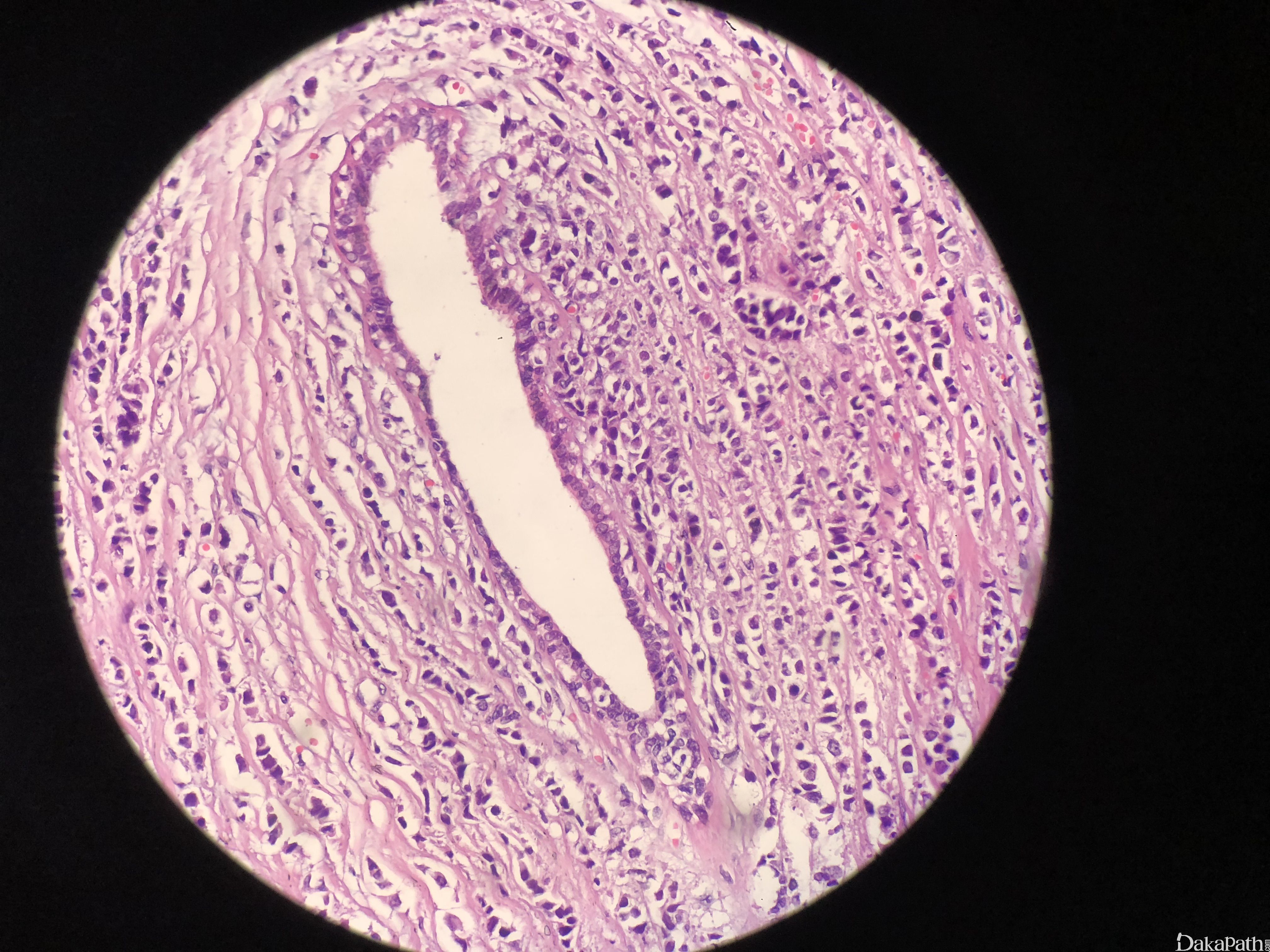
芯针活检
针芯活检使用一根长的中空管来获取组织样本。这里,一个可疑乳房肿块的活组织检查正在进行。样本被送到实验室,由被称为病理学家的医生进行测试和评估。他们专门分析血液和身体组织。

接受乳房x光检查
在乳房x光检查中,你站在一台为乳房x光检查设计的x光机前。技术人员将您的乳房放在一个平台上,并根据您的身高调整平台的位置。技术人员会帮助您调整头部、手臂和躯干的位置,以便无障碍地查看您的乳房。

乳房磁共振成像
在乳房核磁共振成像过程中,你俯卧在一个有衬垫的扫描台上。你的乳房可以放入桌子上的一个凹陷处,里面有检测磁信号的线圈。手术台滑入MRI机的大开口中。
处理
浸润性小叶癌的治疗方案取决于癌症的侵袭性、分期、整体健康状况和个人偏好。治疗通常包括手术和附加(辅助)治疗,可能包括化疗、放疗和激素治疗。
外科手术
浸润性小叶癌的手术可能包括:
·切除癌症和一小部分健康组织。这种手术被称为乳房肿瘤切除术(广泛的局部切除),可以让你保留大部分乳房组织。
外科医生切除肿瘤本身,以及肿瘤周围正常组织的边缘,以确保所有可以切除的肿瘤都被切除。
如果肿瘤周围的组织显示出癌细胞的迹象(正切缘),您可能需要额外的手术,直到达到负切缘。在某些情况下,这可能意味着移除所有的乳房组织。
·切除所有的乳房组织。乳房切除术是切除所有乳房组织的手术。在全(简单)乳房切除术中,外科医生切除所有的乳房组织——小叶、导管、脂肪组织和皮肤,包括乳头和乳晕。一些其他类型的乳房切除术可能会保留皮肤或乳头,可能是基于您的具体情况的选择。
·前哨淋巴结活检。为了确定癌症是否已经扩散到乳房附近的淋巴结,您的外科医生会识别接受癌症淋巴引流的前几个淋巴结。这些淋巴结被移除并测试乳腺癌细胞(前哨淋巴结活检)。
如果没有发现癌症,在任何剩余的节点中发现癌症的机会很小,并且不需要移除其他节点。
·腋窝淋巴结清扫术。如果在前哨淋巴结中发现癌症,那么您的外科医生可能会移除您腋窝中的额外淋巴结(腋窝淋巴结清扫)。
了解癌症是否已经扩散到淋巴结有助于确定最佳治疗方案,包括是否需要化疗或放疗。
激素疗法
荷尔蒙疗法——或许更恰当地称为激素阻断疗法——通常用于治疗对激素敏感的乳腺癌。大多数浸润性小叶癌是激素受体阳性的,这意味着它们利用激素生长。
为了减少癌症复发的机会,可以在手术或其他治疗之前或之后使用激素疗法。如果癌症已经扩散,激素疗法可能会缩小并控制它。
可用于激素疗法的治疗包括:
·阻止激素附着在癌细胞上的药物(选择性雌激素受体调节剂)
·绝经后阻止身体产生雌激素的药物(芳香酶抑制剂)
·停止卵巢激素分泌的手术或药物
放射治疗
放射疗法使用高能能量,如X射线和质子,来杀死癌细胞。
在放射治疗过程中,你躺在一张桌子上,一台大型机器在你周围移动,将能量束对准你胸部的精确点。
乳房肿瘤切除术后可能会建议放射治疗。如果您的癌症很大或涉及淋巴结,也可以在乳房切除术后推荐使用。
化学疗法
化疗使用药物杀死癌细胞。治疗通常包括接受两种或多种不同组合的药物。
化疗可以通过静脉、药丸或两种方式进行。
手术后可能会建议化疗,以杀死任何可能残留的细胞。
化疗也可以在手术前用来缩小大的肿瘤。对于肿瘤较大的女性,术前化疗可能会使其选择乳房肿瘤切除术而不是乳房切除术。

乳房肿瘤切除术
乳房肿瘤切除术包括切除肿瘤和其周围的一些健康组织。此图显示了一种可能的切口,可用于此程序,但您的外科医生将决定最适合您的特定情况的方法。

单纯性乳房切除术和改良根治性乳房切除术
一个简单的乳房切除术(左)移除了乳房组织、乳头、乳晕和皮肤,但不是所有的淋巴结。改良根治性乳房切除术(右)切除了整个乳房——包括乳房组织、皮肤、乳晕和乳头——以及大部分腋下(腋窝)淋巴结。

前哨淋巴结活检
前哨淋巴结活检识别肿瘤引流到的最初几个淋巴结。外科医生使用无害的染料和弱放射性溶液来定位前哨淋巴结。这些淋巴结被切除并检测是否有癌症迹象。

放射治疗
外部束辐射使用高能束能量杀死癌细胞。使用一种在你身体周围移动的机器,辐射束精确地瞄准癌症。
参考来源:
https://www.drugs.com/mcd/invasive-lobular-carcinoma
乳腺癌视频会诊案例 | ![]() |
免责声明:本文无意影响或改变您的主治医生提供的医疗服务。请不要在没有先咨询您的主治医疗服务提供者的情况下对您的治疗做出改变。本文不用于诊断或治疗疾病,也不影响治疗方案。美联医邦会尽最大努力编辑和更新本页面的信息,但是我们无法保证本页医药信息的精确性和完整性。

凭借我们30多年的美国医疗网络资源,您可以直接与美国医疗精英对话,在家中咨询美国顶级专家或国际会诊,不出国门获取先进治疗方案。
凭借我们30年的医疗网络资源,您可以直接与美国医疗精英对话。在家中咨询疑难疾病的专家,轻松了解治疗方案。
如需赴美就医或获取海外新药,我们为您一站式安排海外看病等服务。



服务优势
预约知名美国专家譬如安德森癌症医院和梅奥诊所,安排无忧出国看病行程,寻找全球新药新技术医生网络
我们与美国顶级1%的海外医疗医生网络,300+所美国权威医院和药房资源深度合作一站式海外诊疗我们的专属客服医学经理,为您免费咨询,最短时间获取预约优质医疗资源
Jason 王经理
医学客服经理/添加微信:Mede2018
Kiki 圆经理
医学客服经理/添加微信:mede1917
如果您和您的家人有任何医疗和新药需求,请欢迎随时联系我们。我们客服团队工作时间周一到周五早上9点到晚上8点,北京时间。
总部位于纽约,9年专注美国,是赴美就医服务细分领域的头部机构。 始终坚持精英式定制(非保姆式),获30+历史卡思克鲁力医生集团(全美TOP医生联盟)及股东战略产业投资,不涉及风险资本。 作为美国本土医疗资源提供商,美联医邦已与中国平安、泰康人寿、太平人寿等保险集团达成总对总合作。服务覆盖数百万保险客户。美国福布斯榜推荐和英文报道,直通全美前5%顶级专家网络。只精准对接全美72个专科排名TOP3医院,包括梅奥诊所、MD安德森、纪念斯隆-凯特琳癌症中心等百余家美国著名医疗机构。申请美国医院的折扣率10-30%,和美国医院议价能力高。3000+客户的信任选择,一切从用户角度出发,鼓励部分患者远程二诊/问诊拿方案在国内治疗,不过度宣传和劝退不必要的赴美看病。
了解更多美国美联医邦成都运营服务中心
Disclaimer 免责声明:
本文无意影响或改变您的主治医生提供的医疗服务。请不要在没有先咨询您的主治医疗服务提供者的情况下对您的治疗做出改变。本文不用于诊断或治疗疾病,也不影响治疗方案。美联医邦会尽最大努力编辑和更新本页面的信息,但是我们无法保证本页医药信息的精确性和完整性。
纽约总部:
260 Madison Ave 8th Floor #8001,New York, NY 10016
美联医邦Medebound成都运营服务中心:
成都市锦江区红星路一段35号A区1号楼605
(美)+1 917-342-2381
(中) +86 400-616-2591
support@medebound.com