添加微信mede1917
或扫描二维码
添加微信mede1917
或扫描二维码
欢迎来到 Medebound 国际医疗平台
平安/泰康签约的优选服务机构
欢迎来到 Medebound 国际医疗平台
平安/泰康签约的优选服务机构
美联医邦
文章类型: 肺癌

肺部磨玻璃结节时常能通过检查发现,出国看病服务机构了解到并随着检查手段的进步将会越来越常见。由于其检出率高,自然病史特别,并且与肺腺癌相关,故而临床上对其愈发重视。然而它发展为肺癌的可能性有多大、发现后应当怎么处理、预后如何仍不清楚。肺部磨玻璃结节病史常较长且隐匿,难以发现并治疗。近日,我们在纽约独家采访了美国西奈山医院(纽约第三大医院)的胸外科大主任(Chair of Thoracic Department) Dr . Flores, 他为我们解答了一系列问题,并阐述了2015年一项由美国西奈山医院主导、基于国际早期肺癌行动计划(I-ELCAP)的研究对上述问题给出的建议。

图为2015年弗洛雷斯主任在纽约接受美联医邦(见话筒前方美联医邦公司标志)独家专访
1. 请问肺癌磨结节是什么?
弗洛雷斯主任:与肺部的实性结节不同,出国看病服务机构了解到磨玻璃结节又叫非实性结节,指的在CT上可见的肺部浅淡的、密度增高的病变。顾名思义,它的出现就好像给肺部蒙上了一块毛玻璃一样,原本正常的血管、气管仍然可以透过结节模模糊糊地看到。磨玻璃结节可以分为两大类——单纯性磨玻璃结节、混合性磨玻璃结节。前者指的是密度比较均一的结节,当中没有实性成分;反之,后者为包含实性成分的结节。

单纯性磨玻璃结节(左)及混合性磨玻璃结节(右)(图片来自于I-ELCAP本研究)
2. 磨玻璃结节常见吗?
弗洛雷斯主任:这项2015年美国 Radiology 杂志 (美国影像领域最权威学术杂志)上发表的研究发现在57496名受试者中,2392例(4.2%)发现单纯性磨玻璃结节;后续每年的CT随访中,又发现了485例新出现的单纯性磨玻璃结节。近年来薄层高分辨CT(HRCT)的广泛应用,磨玻璃结节越来越常见。
3. 磨玻璃结节的可能病因有哪些?
弗洛雷斯主任:可能是炎症、感染、纤维化,但也可能是肺腺癌的前期表现。如果年度CT筛查发现磨玻璃结节,但患者没有感染性疾病引起的局部或全身的症状,该患者可能具有较高的肿瘤风险(例如纤维化,或癌症如腺癌)。
4. 磨玻璃结节是否比实性结节更危险?
弗洛雷斯主任:部分研究提示单纯的磨玻璃结节,出国看病服务机构了解到其最终诊断是恶性肿瘤的比例(5.4%)稍高于实性结节(4.6%),但显著低于混合型磨玻璃结节(14.3%)。但是磨玻璃结节肿瘤的恶性程度会较实行结节低。当然,这意味着单纯的磨玻璃结节仍然可能是肿瘤

63岁老年女性,出国看病服务机构了解到持续存在的单纯性磨玻璃结节,最终诊断为恶性。左图)薄层CT提示左肺上叶14mm的单纯性磨玻璃结节,箭头所指 右图)一年后随访薄层CT提示病变无明显改变,该患者接受左肺上叶切除术,病理诊断为支气管肺泡癌,肺腺癌的一种亚型(小编经过弗洛雷斯主任同意, 编辑引用该图为读者参考)
5. 磨玻璃结节的处理的难点何在?
弗洛雷斯主任:处理磨玻璃结节十分具有挑战性,因为通过其影像学的形状表现及生长模式来判断其良恶性十分困难。磨玻璃结节边界曲线通常不规则,边界不清,故而对于结节的测量常常不准确、不可重复并且严重依赖于影像技师。除了影像学诊断的困难外,不同的患者可能患癌风险水平也不一。诊断及治疗方案均应结合患者的临床评估及影像学评估。
6. 磨玻璃结节会转变为肺癌吗?哪些表现提示磨玻璃结节可能是恶性的,何时建议患者手术切除磨玻璃结节
弗洛雷斯主任:对于磨玻璃结节转变成为肺癌的几率,医学界仍有争议,但普遍认为混合性磨玻璃结节成为肺癌的可能性更大。此外,老年患者,持续存在的磨玻璃结节,形状不规则,出现胸膜凹陷征或其他通常引起恶性肿瘤的高危因素 如何处理磨玻璃结节应当考虑以上所有的因素,同时也要尊重患者的选择。最终的治疗方案应该是高度个性化的。我们经验认为,若结节大小显著增大(超过2mm)或结节内部质地不均一都是手术切除的指征。
一旦出现混合性磨玻璃结节,便应当引起警惕。结节实性成分的大小具有临床指导意义,而且实性成分的增大也是癌症的指征。一般情况下,需要根据实性成分的大小制定后续诊疗计划:
当实性成分直径<5-6 mm时,3-6个月后复查CT;
当实性成分直径为6-8 mm时,应当在更短的时间内复查CT;
当实性成分直径>8 mm时,出国看病服务机构了解到PET/CT以及活检都是必要的。
7. Yankelevitz医生2015年发表的论文提示单纯性磨玻璃结节,不管大小如何,每年进行一次CT检查评估是否转变为混合性磨玻璃结节就已足够。对于该文献纳入的所有患者,手术治愈率达到了100%,而不论治疗的时间点。如何解读这一结果?
弗洛雷斯主任:首先我们不能通过单纯性磨玻璃结节来排除癌症的可能性,仍需要随访。然而频繁的CT检查可能导致高剂量X射线暴露,花费较高同时造成较高的心理压力。这一研究报道将随访期定为12月,患者预后仍然良好,即时磨玻璃结节的最终诊断是早期癌症。如果发现单纯性磨玻璃结节,病人无需惊慌失措,但请一位经验丰富的医生来评估该磨玻璃结节的恶性风险很重要。同时,区分混合性磨玻璃结节和单纯性磨玻璃结节至关重要。

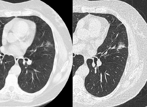
64岁老年男性,有吸烟史。薄层CT提示两个单纯性11mm局限性的磨玻璃结节,位于右肺下叶。两个结节病理诊断不一致。在轴位图片的基础上增加冠矢状位图片即可将这些结节进一步分为结节样及分叶样密度,或者是均匀密度。左边的结节表现为混合亚型腺癌,含有支气管肺泡成分。右边的结节则是上皮脱落的间质性肺炎。因此,结节的形状对于检查的预后预测价值有重要作用。(小编经过弗洛雷斯主任同意, 编辑引用该图为读者参考,参见2)
8. Flores医生,出国看病服务机构了解到如果结节的CT表现看起来是良性的,您将给病人怎样的建议?
弗洛雷斯主任:如果病变很可能是良性的(尽管因为如上所述的种种原因我们无法100%排除恶性肿瘤的可能),首先要建议患者的就是定期回来复查CT,监测结节的改变。此外,我总是告诉我的病人,表现为肺部结节改变的特定组织增生一般都是肿瘤的癌前病变。与其坐等下次复查,病人可以更加积极主动地降低风险,可以考虑以下方法:
多运动,增进健康状况,同时增强机体整体免疫力,以增强储备功能,以备将来与病魔搏斗。
多食用含大量抗氧化物质的食物(例如葡萄籽或绿茶)。有证据显示,出国看病服务机构了解到抗氧化物质这种纯天然的物质能够阻止或推迟某些特定的细胞损伤。
总而言之,磨玻璃结节并不可怕。发现磨玻璃结节后应当立即就诊,找到有经验的医生给予建议,规律进行CT随访,有助于将肺癌扼杀在摇篮状态。
参考文献:
1. Yankelevitz D F, Yip R, Smith J P, et al. CT Screening for Lung Cancer: Nonsolid Nodules in Baseline and Annual Repeat Rounds[J]. Radiology, 2015: 142554.
2.http://www.auntminnie.com/index.aspx?sec=ser&sub=def&pag=dis&ItemID=80914
本文由美联医邦Medebound原创,欢迎转发,未经美联医邦允许,不得转载,违者必究。
部分美联医邦美国名医真实案例:
☞中国还原体肌病患儿获美国专家免费5+小时多学科会诊、免费食宿,感恩遇见美国最高政府卫生研究院
☞膀胱癌患者通过视频会诊中美两国三地联线哈佛名医,寻求治疗方案及临床试验建议
微信公众号:medebound

凭借我们30多年的美国医疗网络资源,您可以直接与美国医疗精英对话,在家中咨询美国顶级专家或国际会诊,不出国门获取先进治疗方案。
凭借我们30年的医疗网络资源,您可以直接与美国医疗精英对话。在家中咨询疑难疾病的专家,轻松了解治疗方案。
如需赴美就医或获取海外新药,我们为您一站式安排海外看病等服务。



服务优势
预约知名美国专家譬如安德森癌症医院和梅奥诊所,安排无忧出国看病行程,寻找全球新药新技术医生网络
我们与美国顶级1%的海外医疗医生网络,300+所美国权威医院和药房资源深度合作一站式海外诊疗我们的专属客服医学经理,为您免费咨询,最短时间获取预约优质医疗资源
Jason 王经理
医学客服经理/添加微信:Mede2018
Kiki 圆经理
医学客服经理/添加微信:mede1917
如果您和您的家人有任何医疗和新药需求,请欢迎随时联系我们。我们客服团队工作时间周一到周五早上9点到晚上8点,北京时间。
总部位于纽约,9年专注美国,是赴美就医服务细分领域的头部机构。 始终坚持精英式定制(非保姆式),获30+历史卡思克鲁力医生集团(全美TOP医生联盟)及股东战略产业投资,不涉及风险资本。 作为美国本土医疗资源提供商,美联医邦已与中国平安、泰康人寿、太平人寿等保险集团达成总对总合作。服务覆盖数百万保险客户。美国福布斯榜推荐和英文报道,直通全美前5%顶级专家网络。只精准对接全美72个专科排名TOP3医院,包括梅奥诊所、MD安德森、纪念斯隆-凯特琳癌症中心等百余家美国著名医疗机构。申请美国医院的折扣率10-30%,和美国医院议价能力高。3000+客户的信任选择,一切从用户角度出发,鼓励部分患者远程二诊/问诊拿方案在国内治疗,不过度宣传和劝退不必要的赴美看病。
了解更多美国美联医邦成都运营服务中心
Disclaimer 免责声明:
本文无意影响或改变您的主治医生提供的医疗服务。请不要在没有先咨询您的主治医疗服务提供者的情况下对您的治疗做出改变。本文不用于诊断或治疗疾病,也不影响治疗方案。美联医邦会尽最大努力编辑和更新本页面的信息,但是我们无法保证本页医药信息的精确性和完整性。
纽约总部:
260 Madison Ave 8th Floor #8001,New York, NY 10016
美联医邦Medebound成都运营服务中心:
成都市锦江区红星路一段35号A区1号楼605
(美)+1 917-342-2381
(中) +86 400-616-2591
support@medebound.com