添加微信mede1917
或扫描二维码
添加微信mede1917
或扫描二维码
欢迎来到 Medebound 国际医疗平台
平安/泰康签约的优选服务机构
欢迎来到 Medebound 国际医疗平台
平安/泰康签约的优选服务机构
美联医邦
文章类型: 罕见病
腺样囊性癌是一种罕见却进展缓慢、易远处转移的恶性肿瘤,很多患者在确诊时往往已经面临长期反复治疗甚至多线治疗失败的现实困境,而“是否需要考虑腺样囊性癌美国治疗”也成为不少家庭在信息不对称下反复权衡的关键问题。尤其是在国内标准治疗手段有限的情况下,国外治疗腺样囊性癌是否真的存在差异化方案,成为决策核心。美联医邦作为拥有10年出国看病服务经验的高端医疗咨询机构,本文将从疾病现状、美国最新治疗进展及实际就医路径三个层面,帮助你系统了解腺样囊性癌国外治疗的真实情况。
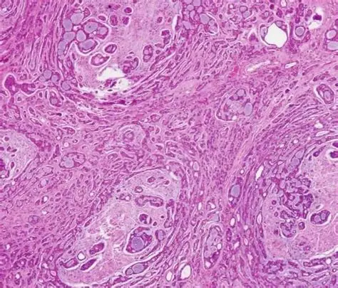
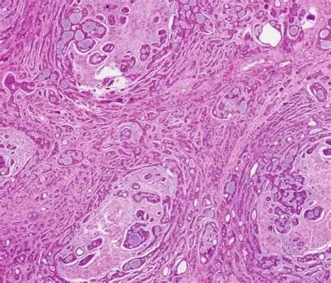
腺样囊性癌(Adenoid Cystic Carcinoma, ACC)最常见于唾液腺,但也可发生于气管、乳腺及泪腺,其最大特点在于生长缓慢但极易发生神经侵犯和远处转移(尤其肺转移),这使得传统“手术+放疗”的治疗模式在长期控制上面临挑战。

根据美国国家癌症研究所(NCI,2023)数据,局限期腺样囊性癌患者的5年生存率可达70%-90%,但一旦出现远处转移,5年生存率下降至约40%-60%。而更关键的是,该疾病对传统化疗普遍不敏感,导致晚期患者治疗选择有限。
目前国内主流治疗路径包括:
手术切除(早期首选)
术后放疗(提高局部控制率)
晚期以姑息治疗为主
但现实困境在于:
当患者进入复发或转移阶段后,缺乏明确有效的系统治疗方案,这也是越来越多家庭开始关注腺样囊性癌国外治疗的核心原因。
与此同时,国外尤其是美国,在以下几个方面逐渐形成差异:
分子分型驱动的精准治疗
临床试验资源更丰富
针对ACC的靶向药和免疫治疗持续探索
因此,“美国治疗腺样囊性癌效果好吗”并不是一个简单的是非问题,而是取决于患者是否存在可匹配的新药或临床试验窗口。
在过去5年中,美国针对腺样囊性癌的研究重点逐渐从传统治疗转向分子靶向和免疫治疗,尤其围绕MYB基因异常这一核心机制展开。
研究发现,约60%-80%的ACC患者存在MYB或MYBL1基因重排(Nature Reviews Cancer, 2022),这为靶向治疗提供了方向。美国多家癌症中心正在探索多靶点酪氨酸激酶抑制剂(TKI)的应用。
例如:
Lenvatinib(乐伐替尼)在II期临床试验中显示,客观缓解率约为15%-20%,疾病控制率可达70%以上(Journal of Clinical Oncology, 2021)
Axitinib等药物也在研究中显示出一定延缓疾病进展的能力
虽然这些药物尚不能称为“美国治疗腺样囊性癌的特效药”,但在延缓肿瘤进展方面已优于传统化疗。
与黑色素瘤等肿瘤不同,腺样囊性癌属于“免疫冷肿瘤”,对PD-1/PD-L1抑制剂反应较低。
根据MSK(纪念斯隆凯特琳癌症中心,2022)数据:
单药免疫治疗客观缓解率不足10%
但联合治疗(如免疫+靶向)正在临床试验中探索
这意味着:
免疫治疗并非主流方案,但在特定分子特征患者中仍可能带来获益。
对于晚期或多线治疗失败患者,美国最大的优势在于临床试验资源。
以MD Anderson癌症中心为例:
每年开展多个针对ACC的临床研究
涵盖靶向药、抗血管生成药、基因治疗等方向
ClinicalTrials.gov(2024)数据显示:
全球正在进行的腺样囊性癌相关临床试验中,超过40%集中在美国
这也是为什么很多患者在了解“国外治疗胶质腺样囊性癌最好的医院”或“美国腺样囊性癌医院哪家好”时,会重点关注是否具备临床试验入组机会。
关于“美国腺样囊性癌五年生存率”,需要客观看待:
早期患者:中美差距较小
晚期患者:差距主要体现在治疗选择更多,而非基础生存率绝对差异
换句话说:
美国的优势不在“基础治疗更好”,而在“当标准方案失效后仍有后续选择”
如果你或家人目前正面临腺样囊性癌复发、转移或多线治疗效果不佳的情况,想了解是否存在美国新的靶向药或临床试验机会,是否适合申请美国专家第二意见或远程会诊,可以点击下方【在线咨询】,我们可协助进行初步适配评估,并提供必要的准备清单。
客服24/7在线
当患者开始认真考虑“腺样囊性癌美国治疗”时,真正的决策难点往往不在医学本身,而在于路径是否清晰、投入是否合理,以及“腺样囊性癌美国治疗的费用是多少”这一现实问题。
从实际操作来看,赴美就医通常分为两个阶段:
第一阶段:远程第二意见(大多数患者的起点)
患者需要准备完整的病历资料(病理切片、影像资料、既往治疗记录等),由美国专科医生进行系统评估,重点判断:
是否存在不同于国内的治疗方案
是否有匹配的临床试验或新药机会
当前是否为赴美最佳时机
这一阶段通常周期为5–10个工作日,费用约在3000–8000美元(约2万–6万人民币,2025年行业均值)。
第二阶段:赴美治疗(仅适合部分患者)
若明确存在差异化方案,例如可入组临床试验或有新的靶向治疗路径,则进入赴美阶段。
费用构成通常包括:
初诊及检查:约1万–2万美元
系统治疗(靶向/免疫):每月约1万–3万美元
手术(如适用):约5万–10万美元
整体来看,腺样囊性癌美国治疗总费用通常在10万–30万美元区间(约70万–200万人民币),具体差异取决于治疗类型与周期。
需要理性认识的是:
并非所有患者都需要赴美,只有在明确存在“方案差异”或“临床试验窗口”时,这一投入才具有医学意义。
一位40岁左右的女性患者,原发于唾液腺的腺样囊性癌,在国内完成手术及放疗后两年出现肺转移,随后接受多线治疗但肿瘤持续进展,在医生建议“以控制症状为主”后,家属开始关注腺样囊性癌国外治疗的可能性。
通过远程第二意见接入美国肿瘤专家后,发现其肿瘤存在特定血管生成通路活跃特征,医生建议尝试一项正在进行的靶向药联合治疗临床试验,并重新评估了治疗节奏。
最终患者并未立即赴美,而是在国内调整用药策略并同步等待试验窗口,病情在6个月内获得稳定控制,为后续决策争取了时间。
→ 这一案例的关键并非“是否出国”,而在于:
通过信息差缩小,患者获得了新的治疗路径与时间窗口。
需要说明的是,并非所有情况都适合或需要赴美就医。当美国与国内治疗方案高度一致时,远程第二意见往往已能提供足够参考。真正需要出国的,通常是存在明确差异化方案、或有新药/临床试验窗口的情况。
整体费用通常在10万–30万美元(2025年数据),主要取决于是否涉及手术、是否进入临床试验以及治疗周期长短。其中远程第二意见成本较低,是多数家庭的第一步选择。
需要客观看待:早期患者中美差异有限,而晚期患者的差异主要体现在“可选择方案更多”,尤其是靶向药及临床试验方面,因此效果取决于是否存在匹配治疗路径,而非单纯国家差异。
目前如MD Anderson、MSK、Mayo Clinic等机构在ACC研究与临床试验方面较为活跃,但选择医院不应只看名气,更应关注:
是否有相关临床试验
是否有该疾病专科医生
是否能提供个体化方案
腺样囊性癌的特殊性在于其“慢进展但难根治”的生物学特征,这使得治疗决策往往不是一次性的,而是一个长期动态调整的过程;而“腺样囊性癌美国治疗”的价值,也更多体现在当标准路径受限时,是否还能找到新的选择空间。
在信息不对称的情况下,盲目出国或完全放弃探索,往往都不是最优解;真正关键的是,在合适的时间点获取更全面的医学信息,从而做出更有把握的判断。
如果你希望先确认当前方案是否与国际标准一致,或了解是否存在新的靶向药/临床试验机会,可以通过远程会诊方式,在不出国的情况下获得美国专科医生的书面意见。
点击【在线咨询】,获取初步评估与资料准备清单
客服24/7在线
如果已处于多线治疗失败阶段,或明确希望进入美国临床试验体系,可以进一步评估赴美治疗的可行性与时间窗口。
目前国内已出现一批专注协助患者获取国际肿瘤专家远程问诊与转诊的服务机构,但各家在资源侧重、服务深度和覆盖范围上存在明显差异。以下是目前市场上较具代表性的三家机构,供患者家庭参考:
早中期患者:
国内治疗体系已较成熟,是否需要跨境服务取决于方案是否存在不确定性,远程第二意见往往已足够。
晚期/疑难患者:
当出现多线治疗失败或希望寻找新药/临床试验机会时,美国医疗体系的价值更加明显。
需要强调的是:
并非所有腺样囊性癌患者都需要或适合赴美治疗,但在关键节点获取更全面的信息,往往可以显著提升决策质量。
这,才是跨境医疗真正的意义所在。
1. 与医院谈判:我们经常从美国医院获得额外10%-30%的折扣。我们强大的关系网和直接联系将对您有利。
2. 巧妙借助远程医疗: 无需差旅费,即可获得专家意见。有时,您只需通过视频会诊就能做出明智的决定。
3. 定制套餐: 我们制定适合您需求和预算的计划,而不是昂贵的 “一刀切 ”式交易。您只需支付所需服务的费用。
4. 高效的流程:我们与名医直接联系意味着更快的预约和更少的等待时间,从而节省您长期逗留的费用。
虽然我们不能透露具体姓名,但我们的成功案例包括:
【美联医邦】出国案例: |
其他案例包括:
为一位心脏患者节省了超过40万人民币,并找到了一个之前并不知情的临床试验,并申请到减免医药和临床费用。
为一位癌症病患者通过远程医疗获得了完整的治疗方案,国内医生可遵循该方案,避免了30万昂贵的海外费用。
一位罕见病患者与美国相关病教科书级专家取得联系,并在1周内对话美国专家并且在当地开始了治疗,所有这一切都在家中完成。

免费咨询请拨打美联医邦的免费热线400-616-2591或者在线客服:

想知道其他中国患者是如何申请美国专家的吗?
点击下方在线咨询
来自美联医邦的一段话
❤️本文作者寄语: Hello大家好,我是Jalen, 国家级健康管理师,我从事海外医疗服务已经6+年了。立即咨询获取更多关于这个话题的沟通哦~相信我一定能有所帮助!❤️
▌ 联系 · 方式
邮箱: support@medebound.com
全国免费咨询热线: 400-616-2591
免责声明:本文无意影响或改变您的主治医生提供的医疗服务。 请不要在没有先咨询您的主治医疗服务提供者的情况下对您的治疗做出改变。 本文不用于诊断或治疗疾病,也不影响治疗方案。 美联医邦会尽最大努力编辑和更新本页面的信息,但是我们无法保证本页医药信息的精确性和完整性。
凭借我们30多年的美国医疗网络资源,您可以直接与美国医疗精英对话,在家中咨询美国顶级专家或国际会诊,不出国门获取先进治疗方案。
凭借我们30年的医疗网络资源,您可以直接与美国医疗精英对话。在家中咨询疑难疾病的专家,轻松了解治疗方案。
如需赴美就医或获取海外新药,我们为您一站式安排海外看病等服务。



服务优势
预约知名美国专家譬如安德森癌症医院和梅奥诊所,安排无忧出国看病行程,寻找全球新药新技术医生网络
我们与美国顶级1%的海外医疗医生网络,300+所美国权威医院和药房资源深度合作一站式海外诊疗我们的专属客服医学经理,为您免费咨询,最短时间获取预约优质医疗资源
Jason 王经理
医学客服经理/添加微信:Mede2018
Kiki 圆经理
医学客服经理/添加微信:mede1917
如果您和您的家人有任何医疗和新药需求,请欢迎随时联系我们。我们客服团队工作时间周一到周五早上9点到晚上8点,北京时间。
总部位于纽约,9年专注美国,是赴美就医服务细分领域的头部机构。 始终坚持精英式定制(非保姆式),获30+历史卡思克鲁力医生集团(全美TOP医生联盟)及股东战略产业投资,不涉及风险资本。 作为美国本土医疗资源提供商,美联医邦已与中国平安、泰康人寿、太平人寿等保险集团达成总对总合作。服务覆盖数百万保险客户。美国福布斯榜推荐和英文报道,直通全美前5%顶级专家网络。只精准对接全美72个专科排名TOP3医院,包括梅奥诊所、MD安德森、纪念斯隆-凯特琳癌症中心等百余家美国著名医疗机构。申请美国医院的折扣率10-30%,和美国医院议价能力高。3000+客户的信任选择,一切从用户角度出发,鼓励部分患者远程二诊/问诊拿方案在国内治疗,不过度宣传和劝退不必要的赴美看病。
了解更多美国美联医邦成都运营服务中心
Disclaimer 免责声明:
本文无意影响或改变您的主治医生提供的医疗服务。请不要在没有先咨询您的主治医疗服务提供者的情况下对您的治疗做出改变。本文不用于诊断或治疗疾病,也不影响治疗方案。美联医邦会尽最大努力编辑和更新本页面的信息,但是我们无法保证本页医药信息的精确性和完整性。
纽约总部:
260 Madison Ave 8th Floor #8001,New York, NY 10016
美联医邦Medebound成都运营服务中心:
成都市锦江区红星路一段35号A区1号楼605
(美)+1 917-342-2381
(中) +86 400-616-2591
support@medebound.com