
美国食品和药物管理局(FDA)给予Vitrakvi的批文
截至目前,发布这个药物相关的临床试验过程和结果的最权威出处,是以发布权威临床试验著称的,全球4大顶级临床医学期刊之首的《The New England Journal Of Medicine新英格兰医学杂志》,相关论文发表于2018年2月。

这个临床试验,由几十家美国知名医院共同完成,包括UCSF(美国加州大学旧金山分校医学中心)、Duke(杜克大学医学中心)、Tufts(塔弗茨医学中心)、City of Hope(希望之城医学中心)等美国最顶级的医院。
◆◆◆
什么样的癌症可以治?
要确定是这3种基因突变!
与以往传统抗癌药临床试验不同的是,本次试验不是以某种组织来源的肿瘤患者为对象,而是以一种基因突变为目标,这种突变发生在NTRK基因上,NTRK是指神经营养因子受体络氨酸激酶(NeuroTrophin Receptor Kinase),其家族包括TRKA、TRKB和TRKC三种蛋白,它们分别由 NTRK1、NTRK2和NTRK3基因编码。

正常情况下这三种蛋白只在神经系统表达,而NTRK融合基因表达则发生在多种实体肿瘤中,发生这种基因突变的肿瘤细胞,可以依赖异常基因产生的蛋白不断增殖。据统计,大约有1%的实体肿瘤伴有NTRK融合基因。
而Larotrectinib的抗癌原理就是抑制NTRK融合基因的表达,出国看病服务机构了解到从而抑制肿瘤的生长。
简单来讲这个新药不需要考虑癌症的发生区域,这就意味着不管什么癌种(组织/细胞/部位),只要有NTRK基因融合,就可以使用Vitrakvi进行治疗。换句话说,也只有存在NTRK融合基因的肿瘤,才可能产生效果。
所以,癌症患者可去做一下基因检测,一定去看看检测报告有没有这个基因融合。如果有,那么该药物就很有可能产生显著效果!
NTRK融合基因的NGS检查花费:约为600美元。
◆◆◆
具体哪17种类型肿瘤会有效?
本试验总共纳入55名肿瘤患者,肿瘤类型(各种肿瘤具体例数)包括:
涎腺肿瘤(12例)
其他软组织肉瘤(11例,包括肌周细胞瘤2例,肉瘤2例,周围神经鞘瘤2例,梭形细胞瘤3例,婴儿肌纤维瘤病1例,肾脏炎性肌纤维母细胞瘤1例)
婴儿性纤维肉瘤(7例)
甲状腺肿瘤(5例)
结肠肿瘤(4例)
肺肿瘤(4例)
黑色素瘤(4例)
胃肠道间质瘤(3例)
胆管癌(2例)
阑尾肿瘤(1例)
乳腺肿瘤(1例)
胰腺肿瘤(1例)
据研究者的判断,出国看病服务机构了解到这些肿瘤的分布也提示了NTRK基因在各种肿瘤中出现的频率,也就是主要多见于涎腺肿瘤、软组织肉瘤、婴儿性纤维肉瘤中。

资料来源:《The New England Journal Of Medicine》
而《柳叶刀》最新公布的儿童肿瘤治疗的数据也十分漂亮:Vitrakvi治疗NTRK融合阳性癌症儿童的客观应答率(ORR)高达93%。
NTRK融合发生于多个类型的癌症中。
在成人常见恶性肿瘤中比较少见,出国看病服务机构了解到但在比较罕见的小儿恶性肿瘤中却相对比较常见。
如小儿纤维肉瘤、先天性中胚层肾瘤、乳头状甲状腺癌。

这项临床试验1期共纳入了24名儿童癌症患者,其中17名患者携带有NTRK融合突变。
结果显示,每一个携带NTRK融合基因突变的实体瘤患者在接受Vitrakvi治疗之后,其肿瘤都明显缩小了。这种几乎普遍应答的疗效是前所未有的。
其中,出国看病服务机构了解到有一名13岁的小患者Briana Ayala,2016年,她的出现了奇怪的腹胀,检查发现她的腹部出现了一种罕见的肿瘤,肿瘤包裹着腹主动脉,手术风险很大。
好消息是手术顺利,坏消息是,术后没多久,肿瘤又复发了,她似乎是必死无疑。
幸运的是她的肿瘤组织进行了基因检测后发现存在NTRK融合,于是,她参与了Vitrakvi的临床试验。
几周之后,出国看病服务机构了解到她的腹部疼痛和肿胀消失,扫描显示她的肿瘤显著缩小。
现在,Briana又回到了学校,她终于也可以像其他小朋友一样憧憬着未来了。

两年前和现在的Briana
(照片来自UT Southwestern Medical Center)
◆◆◆
作用有限!
但是,Vitrakvi的作用范围其实非常有限,它仅仅针对NTPK融合基因突变,这种突变在大多数常见实体肿瘤中发生的几率不到1%,仅在先天性纤维肉瘤、先天性中胚层肾癌和分泌型乳腺癌中较为常见。
其次,75%是指缓解率,而不是治愈率,这是指肿瘤缩小了,或者肿瘤在没有变大、转移的情况下,患者的生存时间延长了。
和其他类似的靶向抗癌药一样,出国看病服务机构了解到Vitrakvi也存在耐药问题。
不过,现在很多靶向药一代还没上市,二代药就已经准备好了。
第二代NTRK靶向药物LOXO-195早已整装待发,不久前两位耐药患者在尝试新药一个月后耐药的肿瘤就几乎消失不见了。
事实上,该药理论上存在很强的副作用,它对NTRK基因的抑制会对神经系统造成影响,可能会造成共济失调和感觉与行为的异常。
虽然目前Vitrakvi的临床实验中尚未发现类似的问题,出国看病服务机构了解到但是在之后的临床运用中也决不可掉以轻心。
还有一个很现实的问题,成人一个月超过3万美元(至少20万人民币),儿童每月11000美元起的价格让人望而生畏,经济状况较差的家庭只能等着慈善组织赠药或是药物随着时间慢慢降价。
最后,计划美国看病的中国患者短期内还是用不到Vitrakvi的,但是存在急迫需求的患者可以选择去进行基因检测以确定存在NTRK基因突变,之后便有机会通过美联医邦参与临床试验。
附:最新部分案例
在研发公司LOXO官网公布了,临床接受抗癌药Larotrectinib治疗的最新部分案例:

美国看病赴美就医治疗胃肠间质瘤:
55岁男性
治疗前:癌细胞几乎已经扩散到整个肠胃和腹腔
治疗后:接受了9个周期治疗后奇迹出现,肿瘤明显缩小,目前正在接受第10周期治疗。

美国看病儿童纤维肉瘤:
16个月大的的婴儿
治疗前:经过基因检测后发现ETV6-NTRK3突变,出国看病服务机构了解到接受了3次手术和化疗,效果依然不明显。
治疗后:接受抗癌药Vitrakvi成人剂量的液体制剂治疗3周期后,MRI磁共振显示肿瘤体积减少90%!

美国看病治疗乳腺癌:
50岁女性
治疗前:这位患者之前接受过多次的化疗和手术治疗,无奈最后肿瘤还是复发了,情况很严重
治疗后:使用了抗癌药Vitrakvi治疗20天之后,裸露的肿瘤几乎消失了。

未分化肉瘤
41岁女性
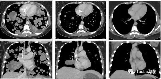
治疗前:患者的肿瘤细胞已广泛转移到肺部,很快要填满肺部了。
治疗后:迅速解决呼吸困难和低氧血症。2个周期后,大部分肿瘤消失,12个周期后,肿瘤组织几乎完全消失!

来源:生物谷、洛杉矶华人资讯
美联医邦9年来服务了上千例海外就医的客户,希望以上的分享能够帮助到您,如果您想要寻求帮助,请拨打国内电话热线400-6162591,来电时请提及文章专属码2018以享受独家折扣,或添加客户经理Jason微信Mede2018立即获取更多信息。
▌我们可以提供
▪ 收集病史资料,撰写国际转诊病历报告;
▪ 准确选择美国对口医院,快速预约美国专家远程视频会诊;
▪ 会诊后如有出国需求,我们协助患者协助办理签证;对接美国最新疗法;
▪ 争取最大的医疗优惠折扣;
▪ 提供便捷、专业的美国就医陪同和生活陪同服务;
▪ 通畅的中美诊疗信息沟通平台和专业的随访服务。
▌ 联系 · 方式
地址: 北京市东城区天坛南里12号美国MEDEBOUND美联医邦美国会诊中心
客服微信: Mede2018
邮箱: support@medebound.com
全国免费咨询热线: 400-616-2591
美国看病常见问题FAQ
美联医邦提供【病历翻译,医疗签证,医院预约】一条龙服务,为您省时省力,且预约效率更高,可对接到美国医院主任级别专家,费用仅需3万人民币, 请联系我们了解详情。
远程会诊|出国成功案例:
安德森会诊案例—晚期胰腺癌赴美安德森治疗为何仍需远程会诊?
赴美面诊美国儿科神经罕见病专家获取美国新药
赴美就医:2023年机构选择和费用
「 MD安德森癌症中心口腔癌治疗案例 」 「 MD安德森癌症中心黑色素瘤治疗案例 」 「 MD安德森癌症中心肺癌治疗案例 」 「 MD安德森癌症中心鼻咽治疗案例 」 「 MD安德森癌症中心肠癌肝癌治疗案例 」
免责声明:本文无意影响或改变您的主治医生提供的医疗服务。 请不要在没有先咨询您的主治医疗服务提供者的情况下对您的治疗做出改变。 本文不用于诊断或治疗疾病,也不影响治疗方案。 美联医邦会尽最大努力编辑和更新本页面的信息,但是我们无法保证本页医药信息的精确性和完整性。
本文由美国美联医邦Medebound编辑原创,未经美联医邦允许,不得转载,违者必究。 美国美联医邦借助其30年历史的美国顶级名医网络,用便捷通道帮助国内患者接触到世界先进治疗方法,开展美国肿瘤罕见病名医视频咨询,出国就医和新药绿通,为生命续航。 电话:4006162591,微信公众号:搜索“美联医邦”。


美联医邦
